Dich vụ
TRỒNG RĂNG SỨ LÀ GÌ?
Trồng răng sứ là kỹ thuật phục hồi răng bị mất hoặc tổn thương, bằng cách gắn mão sứ lên vị trí cần điều trị nhằm tái tạo khả năng ăn nhai và cải thiện tính thẩm mỹ. Mão sứ được tạo hình từ các chất liệu chuyên dụng trong nha khoa như Zirconia, Cercon, Emax… và được gắn chắc chắn lên trụ implant hoặc cùi răng tự nhiên đã được xử lý.
Nha khoa Tinh Hoa
CÓ NHỮNG PHƯƠNG PHÁP TRỒNG RĂNG SỨ NÀO
Bọc răng sứ
Đây là phương pháp tạo trụ từ răng thật bằng cách mài nhỏ, sau đó lắp mão sứ lên trên nhằm tái tạo hình dáng và chức năng của răng. Kỹ thuật này phù hợp với những răng bị sâu lớn, mẻ vỡ, nhiễm màu nặng hoặc đã lấy tủy.
Ưu điểm:
- Mang lại hiệu quả thẩm mỹ vượt trội;
- Giúp cải thiện khả năng ăn nhai rõ rệt;
- Quy trình thực hiện nhanh chóng, chỉ trong 2-3 ngày.
Hạn chế:
- Phải mài răng thật;
- Không phù hợp với những đối tượng đã mất toàn bộ răng.
Cầu răng sứ
Kỹ thuật này được áp dụng đối với trường hợp đã mất 1 hoặc vài răng liền kề. Hai răng kế bên vùng mất răng sẽ được mài để làm trụ nâng đỡ cầu răng (một dãy gồm nhiều mão sứ dính liền nhau).
Ưu điểm:
- Phục hồi khả năng nhai hiệu quả;
- Chi phí hợp lý, thấp hơn so với cấy ghép implant;
- Đem lại vẻ ngoài khá tự nhiên và hài hòa.
Hạn chế:
- Phải mài răng khỏe bên cạnh;
- Không có khả năng ngăn tình trạng tiêu xương hàm.
Cấy ghép implant kết hợp mão răng sứ
Phương pháp tiên tiến này sử dụng trụ titanium cấy trực tiếp vào xương hàm thay thế cho chân răng mất, sau đó tiến hành lắp mão sứ lên trên để hoàn thiện.
QUY TRÌNH LÀM RĂNG SỨ
-
Bước 1: Thăm khám
Trong bước này, khách hàng sẽ được khám tổng quát răng miệng, chụp X-Quang nếu có răng sâu hoặc viêm tủy.
-
Bước 2: Vệ sinh răng miệng, lấy dấu răng tạm
Khách hàng sẽ được vệ sinh răng bao gồm cạo vôi răng, vệ sinh khoang miệng, loại bỏ tình trạng viêm nướu. Tiếp theo khách hàng sẽ tiến hành lấy dấu răng tạm thời để làm căn cứ cho việc chế tác răng sứ.
-
Bước 3: Gây tê, mài cùi răng, lấy dấu làm răng sứ và gắn răng tạm
Khách hàng sẽ được khám sức khỏe tổng quát như đo huyết áp, tim mạch,... để đảm bảo đủ sức khỏe cho quá trình bọc răng sứ. Nha sỹ tiến hành gây tê vùng răng cần bọc sứ, nếu như răng cần bọc đã lấy tủy thì không phải gây tê nữa. Sau khi gây tê, nha sĩ sẽ mài nhỏ thân răng thành cùi răng để làm trụ gắn răng sứ bên ngoài. Hoàn thành quá trình này, khách hàng sẽ được lấy dấu cùi răng để làm răng sứ. Đồng thời, so màu răng để lựa chọn màu răng sứ phù hợp, khách hàng cũng có thể yêu cầu màu răng và hình dáng răng mà mình mong muốn.
-
Bước 4: Thử và gắn tạm răng sứ
Bước vào giai đoạn tiếp theo, khách hàng sẽ đến nha khoa để kiểm tra độ khít sát, hình dáng, màu sắc răng sứ. Bên cạnh đó, cảm giác nhai của khách hàng cũng rất quan trọng, nha sĩ sẽ điều chỉnh vị trí răng sứ cho đến khi việc ăn nhai của khách hàng thuận tiện nhất. Sau khi thử, nha sĩ sẽ gắn tạm răng sứ để khách hàng về ăn uống và trải nghiệm cảm giác ăn nhai với răng sứ. Nếu cảm nhận thấy vị trí cần chỉnh sửa hoặc việc ăn uống gặp bất lợi thì khách hàng sẽ báo lại với nha sĩ để điều chỉnh lại.
-
Bước 5: Gắn kết thúc và tái khám định kỳ 6 tháng/lần
Cuối cùng, khi khách hàng đã hài lòng với răng sứ thì nha sĩ sẽ tiến hành gắn răng vĩnh viễn. Vậy là đã hoàn thành việc gắn răng sứ. Khách hàng sẽ được hướng dẫn bảo quản răng sứ, chăm sóc, vệ sinh răng miệng và hẹn lịch tái khám định kỳ 6 tháng/lần.
Nha khoa Tinh Hoa
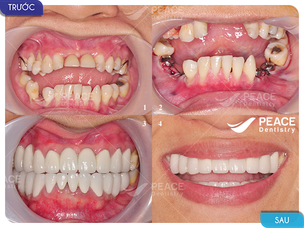
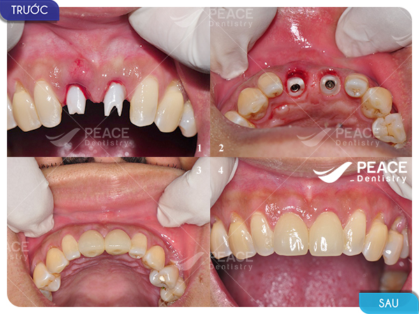
Hình ảnh thực tế





Bảng Giá Trồng Răng Sứ
Răng Sứ Titan
Lõi Titan kết hợp sứ, độ bền cao, giá phải chăng
Răng Sứ Kim Loại Thường
Kim loại thường phủ sứ, bền chắc, phù hợp răng hàm
Răng Sứ Cercon
Răng sứ Cercon HT+ chính hãng Đức, độ trong mờ tự nhiên, bảo hành 10 năm
Răng Sứ Zirconia
Sứ Zirconia cao cấp, siêu bền, thẩm mỹ tuyệt đối, không gây dị ứng
Răng Sứ Emax
Sứ nguyên khối Emax Press, độ trong mờ như răng thật, thẩm mỹ cao nhất
Răng Sứ Emax CAD/CAM
Công nghệ CAD/CAM hiện đại, độ chính xác tối đa, gia công bằng máy tính
Cầu Răng Sứ (3 răng)
Làm cầu răng sứ cho trường hợp mất 1 răng giữa, cần mài 2 răng bên cạnh
Răng Sứ Toàn Hàm
Làm toàn bộ hàm răng sứ, thay đổi hoàn toàn nụ cười
Câu hỏi thường gặp
1.Nha khoa Tinh Hoa có bao nhiêu cơ sở và ở đâu?
Hiện tại nha khoa Tinh Hoa có 9 cơ sở trải khắp Tp.HCM và các tỉnh lân cận. Mỗi cơ sở đều có quy mô từ 10 đến 30 phòng điều trị tiêu chuẩn, được trang bị đầy đủ thiết bị hiện đại và đội ngũ bác sĩ chuyên môn cao. Quý khách có thể liên hệ hotline hoặc truy cập website để biết địa chỉ cụ thể từng chi nhánh gần nhất.
2. Tôi có thể đặt lịch hẹn khám như thế nào?
Quý khách có thể đặt lịch hẹn qua nhiều hình thức: Gọi điện trực tiếp đến hotline, nhắn tin qua Zalo/Facebook Fanpage, hoặc đặt lịch online trên website. Chúng tôi cam kết phản hồi nhanh chóng và sắp xếp lịch hẹn phù hợp với thời gian của quý khách.
3. Chi phí điều trị tại Nha khoa Tinh Hoa có đắt không?
Nha khoa Tinh Hoa luôn niêm yết giá công khai và minh bạch. Chi phí sẽ được bác sĩ tư vấn cụ thể sau khi thăm khám và chụp phim. Chúng tôi cam kết không phát sinh chi phí ngoài dự toán đã thỏa thuận. Ngoài ra, Nha khoa Tinh Hoa thường xuyên có các chương trình ưu đãi và hỗ trợ trả góp 0% lãi suất cho các dịch vụ có giá trị cao.
4. Quy trình điều trị tại Nha khoa Tinh Hoa như thế nào?
Quy trình điều trị tại Nha khoa Tinh Hoa bao gồm: (1) Thăm khám và chụp phim chẩn đoán, (2) Bác sĩ tư vấn phương án điều trị và báo giá chi tiết, (3) Tiến hành điều trị theo kế hoạch đã thỏa thuận, (4) Tái khám và bảo hành theo cam kết. Tất cả các bước đều được thực hiện bởi đội ngũ bác sĩ chuyên môn cao với thiết bị hiện đại, đảm bảo an toàn và hiệu quả.
5. Nha khoa Tinh Hoa có chế độ bảo hành không?
Có. Nha khoa Tinh Hoa cam kết bảo hành cho tất cả các dịch vụ điều trị. Thời gian bảo hành tùy thuộc vào từng loại dịch vụ (răng sứ, implant, niềng răng...) và sẽ được ghi rõ trong hợp đồng điều trị. Trong thời gian bảo hành, nếu có bất kỳ vấn đề nào phát sinh do lỗi kỹ thuật, chúng tôi sẽ khắc phục hoàn toàn miễn phí cho quý khách.


